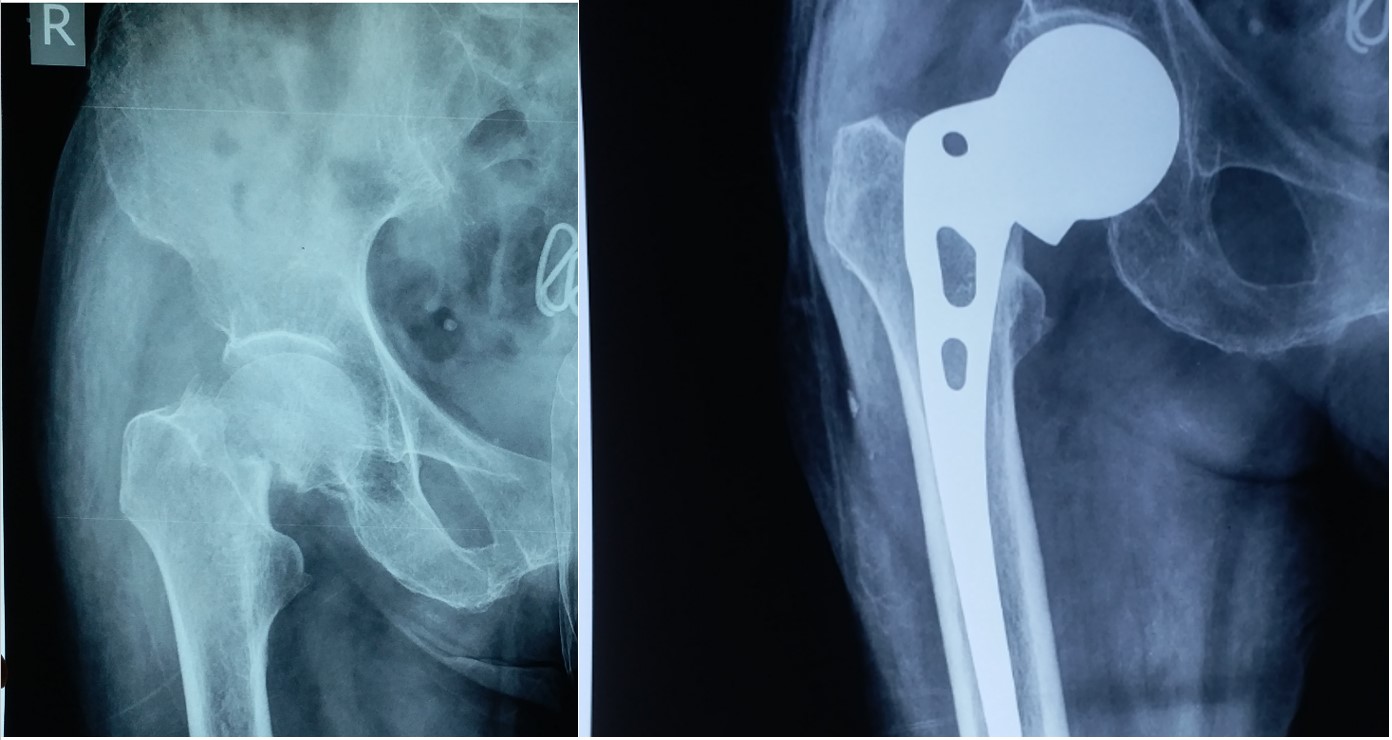
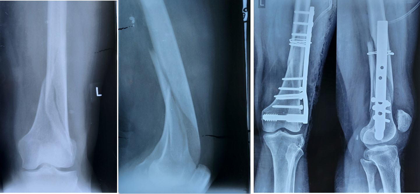
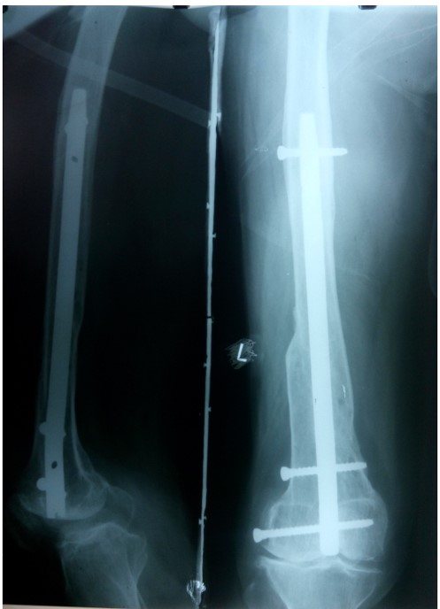
Femer
AVN
Please send us a message, or call us for an appointment. +919287283131,+9188166438,04662223131, 04662223785