An Innovative Method of Key Hole Surgery for Fractures

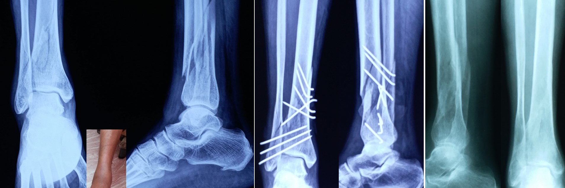
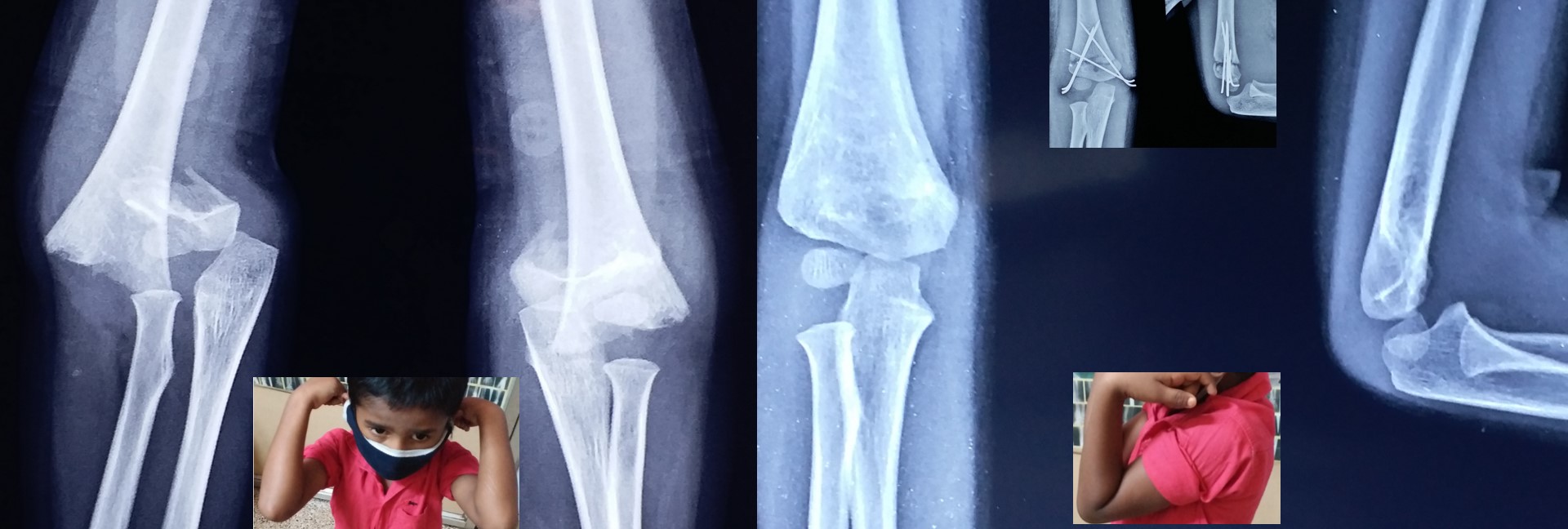
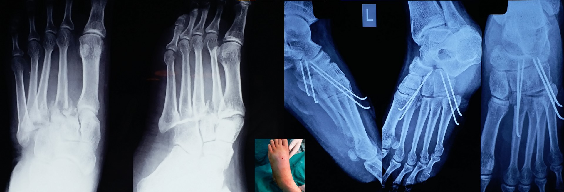
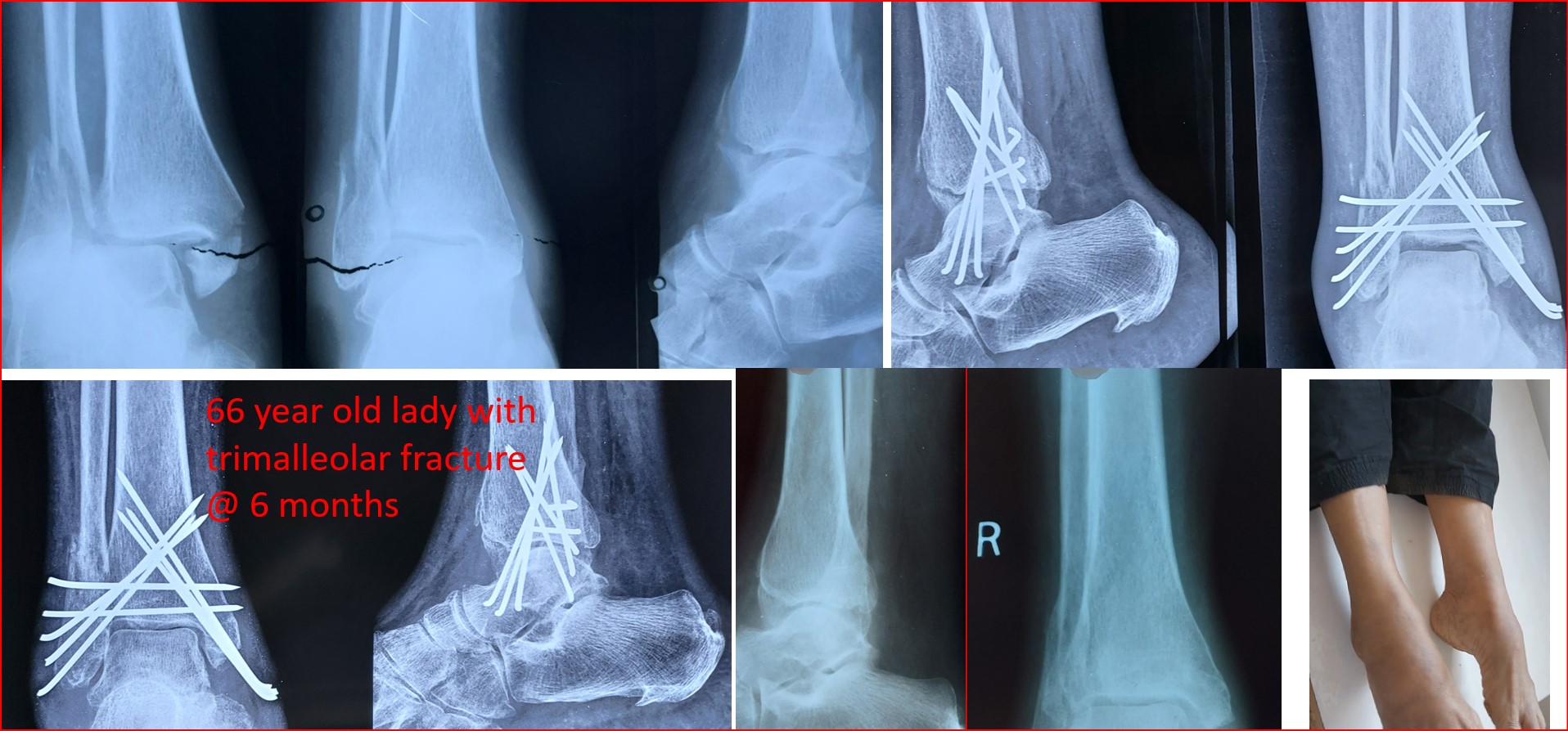
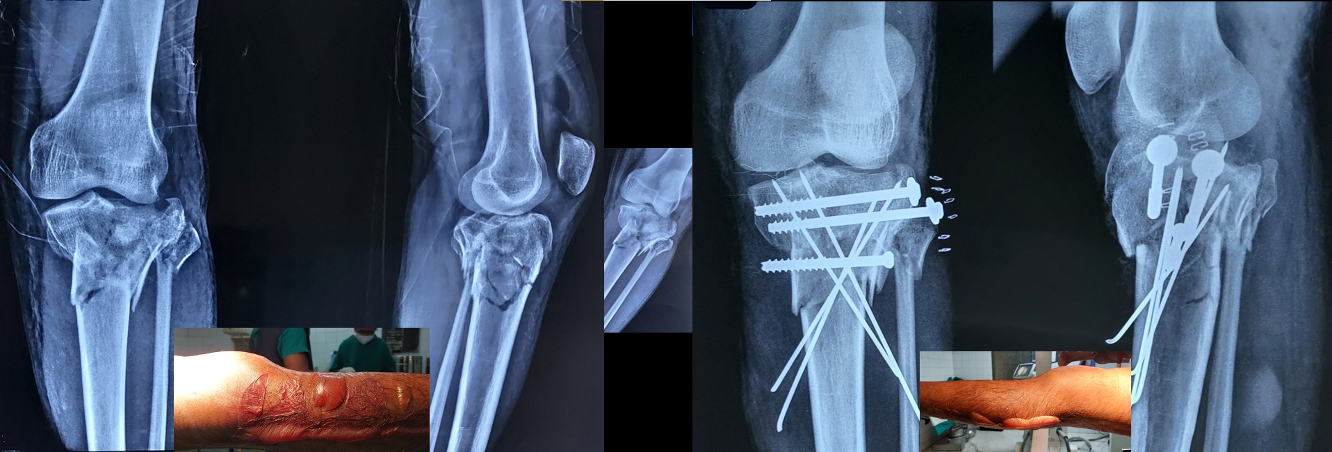
CRPP ( Closed Reduction Percutaneous Pinning )

Of the 37 years of his Orthopedic career in a small charitable trust Hospital of Ottapalam, he tried to establish an effective but economically viable fracture treatment for the marginalised people who cannot afford the conventional open surgeries. His mission was to provide an effective, low cost, patient friendly treatment with early return to their livelihood. The outcome of that dedicated effort was the emergence of a novel method of closed reduction percutaneous pinning ( CRPP) for almost all fractures of both upper and lower limbs. He had modified his technique on CRPP several times and from 2004 onwards he himself presented them in various Orthopedic Conferences in India. After 2015 the presentations of the surgical technique were extended to international conferences with the acceptance from their scientific committees with various publications. He had done more than 20 speaker presentations and shared his innovative surgical technique on CRPP in the renowned world orthopedic conferences in different parts of the world like US. , UK. , Spain, Turkey, Singapore, UAE, Malaysia and South-Africa.

American Academy of Orthopedic Surgeons (AAOS) included the innovative surgical technique for IAFDER as an educational contribution to their video theatre. video.aaos.org
The CRPP technique for intra-articular fracture distal radius was published in their journal of AAOS-Global Research & Reviews- (June 2020-volume-4-issue 6
Got the 3rd  best paper award In the 2nd  American Society for the Surgery of Hand (ASSH) and Singapore Society for Hand (SSH) Joint Scientific Meeting-2018 at Singapore. 

Highlights of CRPP

A novel, low cost, patient friendly fracture treatment which enables the patient for early return to their livelihood.


  • CRPP is a minimally invasive surgical procedure under regional anesthesia and the patient can be discharged on the 2nd postoperative day.
  • No skin incision is required, and fracture heals faster than open surgeries as there is no iatrogenic soft tissue damage or disturbance to the fracture hematoma.
  • No implants projecting outside the skin and hence painless adjacent joint movement is possible immediately after CRPP.
  • Most of the metaphyseal fractures of both upper and lower limbs can be successfully treated by CRPP.
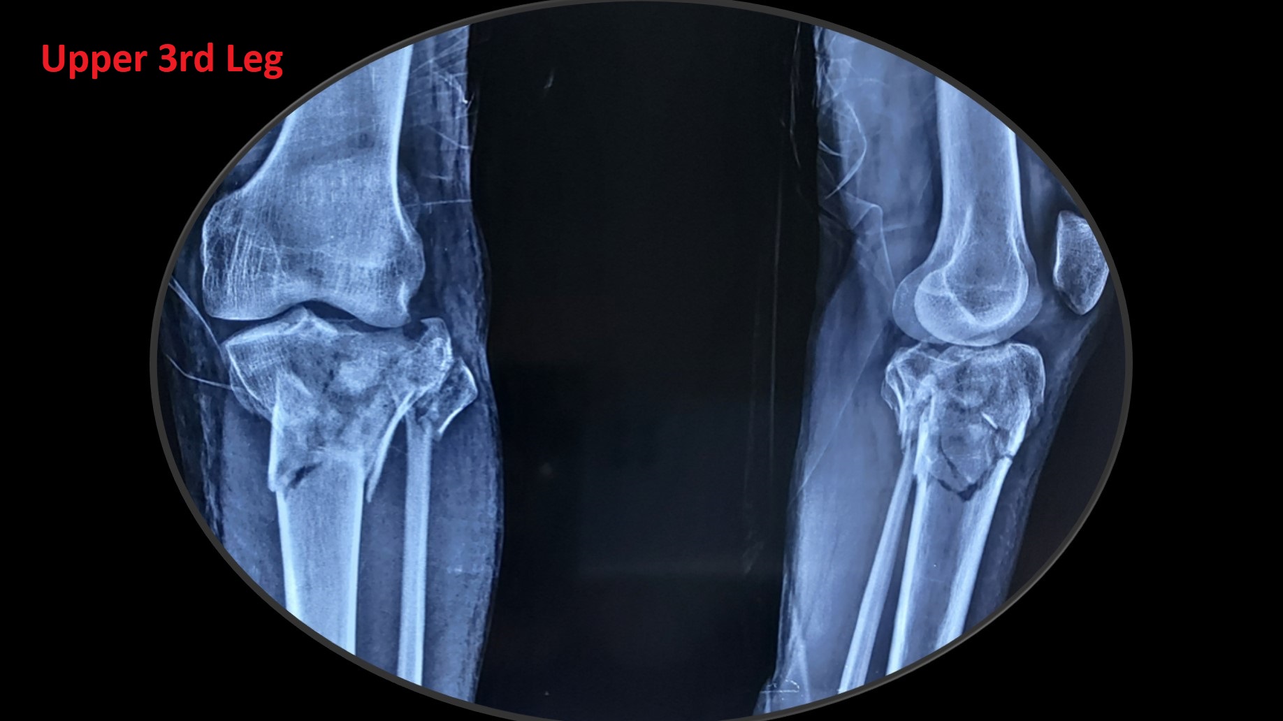
  • It can be applied to any intraarticular fractures, distal end radius, elbow, ankle and foot.
  • It can be applied to diaphyseal region adjacent to metaphysis in pediatric fractures, especially distal 3rd arm, forearm and leg fractures.
  • PCCS (Percutaneous Cannulated Cancellous Screws) can be added to CRPP, when interfragmentary compression is a must.
  • CRPP can be added to CRPIMN (Closed Reduction Percutaneous Intra Medullary Nailing) in  adult diaphyseal fractures including Monteggia and Galeazzi fractures 
  • It can be applied safely in fractures, where ORIF (Open Reduction Internal Fixation ) cannot be performed or postponed due to impending soft tissue complications.
  • Early return to some of the personal works like writing, dressing, washing etc from the 2nd postoperative day onwards after CRPP of the fracture distal radius.
  • Due to the early implant removal, the functional capacity returns to normal within a short period.
  • Almost all complications of open surgeries can be avoided by CRPP with very minimal complications.
Dr. Anil kumar vidyadharan

About the doctor

Doctor is a product of Government Medical College, Trivandrum from where he took his medical graduation and post-graduation degrees  from 1980 to 1989. He started his medical career as an Orthopedic Surgeon at Semalk Hospital , Ottapalam, Kerala, in the year 1989.

More About THE DOCTOR

Achievements

PUBLICATIONS& PRESENTATIONS

American Academy of Orthopedic Surgeons published his work in their journal- JAAOS Global Research & Reviews.


 ·        A Novel Method of Closed Reduction and Percutaneous Pinning with Six K-wires for Intra-articular Fractures of the Distal Radius. Anilkumar Vidyadharan, MBBS, D. Ortho, JAAOS Global Research & Reviews (June 2020-volume-4-issue 6)

·   American Academy of Orthopedic Surgeons (AAOS) included my innovative surgical technique for IAFDER as an educational contribution to their video theatre. video.aaos.org

 Presented  papers on CRPP of various fractures in more than 20 international reputed orthopaedic platforms of the world during the last 3 decades

·        39th Annual Scientific meeting of Singapore Orthopaedic Association 2016.

·        38th SICOT Orthopedic World Congress at Cape Town, South Africa in 2017.

·        Speaker in the 9th Orthopedics Expo and Surgeons Meeting-2017 at Chicago, USA.

·        20th Asia Pacific Orthopedic Association Congress-2018 in Turkey.

·        Speaker in the International Colloquium on Medical and Clinical Trials-Conference in Dubai, UAE 2018.

·      2nd American Society for the Surgery of Hand (ASSH) and Singapore Society for Hand (SSH) Joint Scientific Meeting-2018 at Singapore -Got the 2nd best paper award.

·        Speaker in the World Congress on Rheumatology and Orthopedics at Madrid-Spain in 2018.

·        100th British Orthopedic Association Annual congress, Birmingham-U K 2018.

·        As faculty in the Annual conference IOACON2018 and presented-How I do it?

·        As faculty in the Ortho Academicia conference in 2018

·     Annual meeting of American Academy of Orthopedic Surgeons (AAOS-2020) 

·        As faculty in the Ortho Academicia conference in 2020.

·        As faculty in the Ortho TV in 2021.

·        As faculty in webinar conferences conducted by Reddy’s lab 2021.

·        As faculty in Ortho Academicia conference in 2021.

·        Selected for the Silver Jubilee Oration 2022 by Kerala Orhopedic Association (KOA)

·        42nd SICOT Orthopedic World Congress at Malaysia in 2022 Selected 5 papers on CRPP.

·        43rd  SICOT Orthopedic World Congress at Egypt in 2023 Selected 6 papers on CRPP. 

·    97th Annual Meeting of Japanese Orthopaedic Association at Fukouka, Japan May-2024 presented CRPP of complicated  fractures Elbow in children.

AWARDS

Even though the goal of my innovative surgical treatment was to deliver an effective low cost treatment to my poor patients, by God’s Grace, it was accepted by many reputed Orthopedic associations of different continents and presented the same before the Orthopedic community of different parts of the world like Singapore, U.S., U.K., Turkey, Spain, UAE, Malaysia and South-Africa.

  •     Got the 3rd  best paper award in the 2nd  American Society for the Surgery of Hand (ASSH) and Singapore Society for Hand (SSH) Joint Scientific Meeting-2018 at Singapore.
  • He was honored by my work on CRPP being selected for the Silver Jubilee Oration 2022 in the KERALA ORTHOPEDIC ASSOCIATION.
  • He was honored by the Kerala Governor on behalf of the Rotary International for my service to the poor people with my innovative low-cost surgical method.
  • he was honored in the Health Care Excellence Award in New Delhi 2021, as the Orthopedician dedicated to establish a cost-effective patient friendly surgical treatment for fractures for the benefit of poor patients.






More About Achievement

Our Services

Consultation and plastering at Ortho Clinic, Shoranur & all orthopedic surgeries at ottapalam

Photo Gallery

The care you deserve.

Please send us a message, or call us for an appointment. +919287283131,+9188166438,04662223131, 04662223785